什么是氟斑牙?

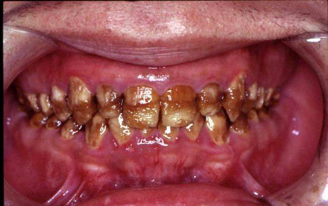
  氟斑牙又称斑釉牙或氟牙症。氟斑牙是色素牙的一种,牙齿呈黄色损害,为慢性氟中毒早期在口腔的表现。氟主要损害牙釉质发育期牙胚的造釉细胞,若在6、7岁之前,长期居住在饮水中氟含量高的流行区,即使日后迁往他处,也不能避免以后萌出的恒牙受累,反之则不出现氟牙症,是 一种典型的地方病。>>>氟斑牙如何治疗>>>
 
临床上常按其轻、中、重度而分为白垩型(轻度)、变色型(中度)缺损型(重度)三种类型:
 
  1.轻度氟斑牙/白垩型:牙面失去正常光泽,出现不透明斑块;

 
  2.中度氟斑牙/变色型:牙面出现较深的黄色、黄褐或棕褐色;

 
  3.重度氟斑牙/缺损型:牙面出现很深的黄色、黄褐或棕褐色,牙面还出现浅窝或坑凹状缺损,或因磨损使牙失去正常外形。


 
  临床上治疗氟斑牙的方法主要有:药物漂白、酸蚀后光固化复合树脂美白、冷光美白、贴面烤瓷美容冠修复美白>>>氟斑牙治疗要多少钱>>>

  松鼠口腔医院率先引进美国beyond普洋冷光美白技术,根据每位顾客量身定制独有的个性化美白计划,让美白后的牙齿与整个肤色自然协调,和谐统一。>>>什么是冷光美白>>>


 
相关内容

Related content